Комплексы с этим исследованием
Мониторинг сахарного диабета Мониторинг состояния больных сахарным диабетом (раз в 6 месяцев) 1 900 Р Состав
Мужская антивозрастная диагностика Контроль основных показателей у мужчины в возрасте 40+ 13 300 Р Состав
Расширенная антивозрастная диагностика в постменопаузе Расширенный контроль возрастных изменений в период постменопаузы 29 230 Р Состав
В ДРУГИХ КОМПЛЕКСАХ
- Антивозрастная диагностика в постменопаузе 12 630 Р
- Расширенная женская антивозрастная диагностика 28 680 Р
- Женская антивозрастная диагностика 12 070 Р
- Расширенная мужская антивозрастная диагностика 33 710 Р
Строение сосудов почки
Почечные артерии отходят от брюшной аорты чуть ниже верхней брыжеечной артерии — на уровне II поясничного позвонка. Кпереди от почечной артерией располагается почечная вена. В воротах почки оба сосуда находятся кпереди от лоханки.
ППА проходит позади нижней полой вены. ЛПВ проходит через «пинцет» между аортой и верхней брыжеечной артерией. Иногда встречается кольцевидная ЛПВ, тогда одна ветвь располагается впереди, а другая — позади аорты.
Нажимайте на картинки, чтобы увеличить.
Для исследования сосудов почки используют конвексный датчик 2,5-7 МГц. Положение пациента лежа на спине, датчик располагают в эпигастрии. Оцените аорту от чревного ствола до бифуркации в В-режиме и ЦДК. Проследите ход ППА и ЛПА от аорты до ворот почки.
Рисунок. В режиме ЦДК на продольном (1) и поперечном (2) срезах от аорты отходят ППА и ЛПА. Сосуды направляются к воротам почки. Кпереди от почечной артерии располагается почечная вена (3).

Рисунок. Почечные вены впадают в нижнюю полую вену (1, 2). Аортомезентериальный «пинцет» может сдавливать ЛПВ (3).

Рисунок. В воротах почки главная почечная артерия делится на пять сегментарных: задняя, верхушечная, верхняя, средняя и нижняя. Сегментарные артерии разделяются на междолевые артерии, которые располагаются между пирамидками почки. Междолевые артерии продолжаются в дугообразные → междольковые → приносящие артериолы клубочков → капиллярные клубочки. Кровь от клубочка отходит по выносящей артериоле в междольковые вены. Междольковые вены продолжаются в дугообразные → междолевые → сегментарные → главную почечную вену → нижнюю полую вену.

Рисунок. В норме при ЦДК сосуды почек прослеживаются до капсулы (1, 2, 3). Главная почечная артерия входит через ворота почки, добавочные артерии из аорты или подвздошной артерии могут подходить у полюсов (2).

Рисунок. На УЗИ здоровая почка: вдоль основания пирамид (кортикомедуллярный переход) определяются линейные гиперэхогенные структуры с гипоэхогенной дорожкой в центре. Это дугообразные артерии, которые ошибочно расценивать как нефрокальциноз или камни.

Видео. Дугообразные артерии почки на УЗИ
Подробное описание исследования
В норме организм человека поддерживает баланс поступления и расхода углеводов. Во многом это возможно за счет гормонов поджелудочной железы — инсулина (образуется в бета-клетках железы) и противоположного ему по действию гормона — глюкагона (продуцируется в альфа-клетках поджелудочной железы).
Одна из главных функций инсулина в углеводном обмене — нормализация уровня глюкозы в крови. Он осуществляет эту функцию путем транспорта глюкозы в клетки, так называемых инсулинозависимых тканей, которые чувствительны к его действию и могут получать глюкозу из крови через специальные переносчики (GLUT) только при действии инсулина. К инсулинозависимым тканям относят печень, мышечную и жировую ткани.
При сахарном диабете 1 типа нарушается процесс образования инсулина на фоне разрушения клеток поджелудочной железы, за счет чего уровень глюкозы в крови становится избыточным для организма. При сахарном диабете 2 типа, в отличие от 1 типа, инсулин вырабатывается в достаточном или иногда в избыточном количестве (т.н. гиперинсулинемия). Это связано с тем, что чувствительность инсулинозависимых тканей к действию данного гормона снижена. В результате они не могут захватывать глюкозу из крови, такое состояние называется «инсулинорезистентность» (IR).
Усугубление резистентности тканей к инсулину клинически связано с избыточной массой тела и ожирением. Во-первых, из-за того, что количество GLUT-рецепторов у людей с избыточным весом меньше, чем у лиц с нормальной массой тела. Во-вторых, избыточный вес приводит к патологическому отложению липидов (жиров) в тканях-мишенях инсулина, особенно в мышцах и печени, это приводит к токсическому эффекту, который нарушает действие инсулина и ухудшает взаимодействие с GLUT-рецепторами.
Возникает порочный цикл — инсулинорезистентность повышает уровень глюкозы в крови, а глюкоза, в свою очередь, повышает степень инсулинорезистентности. Такое состояние часто сопровождает т.н. преддиабет, а затем сопутствует сахарному диабету. Преддиабет (преддиабетическое состояние) — это пограничное состояние, для которого характерно нарушение обмена глюкозы, однако его степень еще недостаточно выражена для постановки диагноза «сахарный диабет». При отсутствии своевременной диагностики и лечения преддиабет может перейти в сахарный диабет.
Для оценки инсулинорезистентности разработан индекс HOMA-IR — формула, учитывающая уровень глюкозы и инсулина — оба показателя натощак. Индекс инсулинорезистентности имеет больший диагностический потенциал, нежели показатели глюкозы и инсулина отдельно. Чем выше показатель HOMA-IR, тем хуже ткани поглощают глюкозу и тем хуже течение сахарного диабета (или преддиабета).
Инсулинорезистентность также отмечается на фоне системных заболеваний — атеросклероз, ишемическая болезнь сердца и др. Также снижение чувствительности тканей к инсулину отмечается у большинства пациентов при синдроме поликистозных яичников или приеме глюкокортикостероидов, что может впоследствии приводить к диабету.
Инсулинорезистентность часто служит составляющей метаболического синдрома — состояния, характеризующегося ожирением, нарушением липидного и углеводного обмена. У пациентов с метаболическим синдромом HOMA-IR помогает оценить эффективность лечения.
Значение измерения индекса резистентности печеночной артерии в диагностике цирроза печени

УЗИ сканер HS50
Доступная эффективность.
Универсальный ультразвуковой сканер, компактный дизайн и инновационные возможности.
Введение
Цирроз печени обусловлен хроническим некровоспалительным заболеванием печени, приводящим к фиброзу и узелковой регенерации. Клинические последствия цирроза развиваются в результате комбинации нарушения функции печеночных клеток, препятствия потоку желчи и изменений печеночного кровотока с нарушением нормальной печеночной структуры [1]. При циррозе печени возросшее количество соединительной ткани приводит к более высокому сопротивлению не только для кровотока в воротной вене, но также и в печеночной артерии [2]. Не в каждом случае цирроза печени проявляются такие его типичные сономорфологические признаки, как узкие печеночные вены, узелки регенерации и неровная поверхность [3]. Внедрение цветного и дуплексного допплеровского исследования делает выявление печеночной артерии и ее гемодинамики доступным неинвазивным исследованием для диагностики и наблюдения за течением цирроза печени и портальной гипертензии [4]. Общий объем печеночного кровотока составляет приблизительно 1,5 литра в минуту. Воротные вены обеспечивают приблизительно 75% крови, в то время как печеночные артерии доставляют лишь 25%. Развитие цирроза влияет на гемодинамику [5]. Расчет индекса резистентности печеночной артерии может дать косвенную характеристику кровотока в печеночной артерии и непосредственную информацию о гемодинамических измененииях в сосудистом ложе печеночной паренхимы [4].
Материалы и методы
Исследованы 100 больных, поступивших в отделение патологии печени и желчевыводящих путей медицинского факультета Александрийского университета. Подтвержденный биопсией цирроз был диагностирован у 55 больных. Диагностика цирроза с использованием комбинированного клинического обследования, лабораторных методов и данных ультразвукового исследования проведена у 36 пациентов. У последних невозможно было выполнить биопсию печени вследствие повышения протромбинового времени или отказа больных от этой процедуры. Из анализа результатов исключены 9 пациентов, поскольку невозможно было получить четкую форму волны кровотока в печеночной артерии.
Вначале печеночная артерия лоцировалась с использованием цветового картирования кровотока, затем для четкой оценки формы волны кровотока применялось импульсное допплеровское исследование. Опрашивающий объем устанавливали в просвет печеночной артерии точно перед ее бифуркацией на главные правую и левую ветви.
Индекс резистентности (ИР) рассчитывали с использованием максимальной систолической скорости А и максимальной диастолической скорости В следующим образом [6]:
ИР = (A — B)/A.
Измерялся также диаметр печеночной артерии. В качестве контрольной группы обследованы 20 добровольцев с нормальной функцией печени и нормальными данными ультразвукового исследования печени. Четкая форма волны печеночного кровотока была получена только у 17 человек из этой группы.
Результаты
В группе больных циррозом печени, включающей 73 мужчины и 27 женщин, средний возраст составил 49,6 лет; самому молодому было 28 лет, а самому старшему — 64 года. Средний возраст контрольной группы, включающей 14 мужчин и 6 женщин, составил 45,3 года. В группах больных и здоровых не было различий показателя индекса резистентности печеночной артерии по возрасту и полу. Индекс резистентности в контрольной группе составил 0,62, тогда как средняя величина индекса резистентности в группе с циррозом была значительно выше — 0,76 (р<0,0001). У больных с установленным циррозом не было достоверного увеличения индекса резистентности в сравнении с больными с ранней стадией цирроза. У11 пациентов диагностирован тромбоз воротной вены и у 5 — обратный кровоток; средний индекс резистентности у этих двух групп составил 0,80 при отсутствии достоверных различий между первыми и вторыми, однако он был достоверно выше, чем в группе больных циррозом без тромбоза воротной вены или обратного кровотока.
При использовании предельной частоты более 0,70 индекс резистентности имел чувствительность 66, специфичность 67, а также точность 68%. Средний диаметр печеночной артерии в контрольной группе равнялся 2,5 мм, тогда как у больных циррозом превышал 4,5 мм, т.е. наблюдалось значительное расширение печеночной артерии (р<0,001).
Обсуждение
Ультразвуковыми признаками цирроза печени являются: изменение печеночной эхоструктуры, наличие узлов, увеличение хвостатой и уменьшение правой доли печени, а также наличие косвенных признаков, таких как портальная гипертензия, спленомегалия, появление коллатералей и асцит. Выявление изменений гемодинамики в печеночном сосудистом ложе при циррозе может быть еще одним чувствительным признаком, который помогает в диагностике и прогнозе цирроза. Аппараты с возможностью высокочувствительного цветового допплеровского исследования позволяют провести картирование печеночной артерии по всему ее ходу. У больных с циррозом диаметр ее увеличивается, что облегчает лоцирование. В настоящем исследовании средний диаметр печеночной артерии больных циррозом превысил 4,5 мм, а в контрольной группе он был лишь 2,5 мм. Цветовое допплеровское исследование прежде всего помогает диагностике дилатации печеночной артерии и ее дифференциации с расширенным общим желчным протоком.
Рис. 1.
Группа расширенных извитых капилляров, подобных каналам, в воротах печени, представляющая большую кавернозную трансформацию воротной вены.
Рис. 2.
Полный тромбоз воротной вены эхогенным «старым» тромбом в ее дистальных двух третях и «недавний» тромб более низкой эхогенности в ее проксимальной трети.
Представляется, что печеночная артерия расширяется для увеличения тока крови в печеночную паренхиму и для компенсации уменьшения портального кровотока. Vassiliades и соавт. (1993) показали, что диаметр печеночной артерии у больных с циррозом составляет 0,64 ± 0,06 мм. Leen и соавт. (1993) продемонстрировали увеличение кровотока через печеночную артерию у больных с циррозом, свидетельствующее о перераспределении кровотока между воротной веной и печеночной артерией. Более того, расширенная печеночная артерия может быть исходным моментом развития тромбоза воротной вены или обратного портального кровотока. Индекс резистентности выбран ввиду его независимости от ошибок, возникающих при неправильном выборе угла допплеровского сканирования, что особенно важно для печеночной артерии, которая обычно имеет извитой ход, а подбор угла расположения датчика параллельно ее просвету является нелегкой задачей.
Рис. 3.
Частично обратный кровоток в воротной вене во время выдоха — «частичный гепатофугальный кровоток».
Рис. 4.
Варианты изображения с различным ходом нормальной печеночной артерии.
Визуализация печеночной артерии и получение четкой допплеровской регистрации кровотока в ней требуют времени. Кроме известных нормальных анатомических вариантов препятствиями при обследовании печеночной артерии могут служить наличие асцита, газов в брюшной полости, отсутствие взаимодействия с больным (который не может задержать дыхание в течение достаточного периода времени) и ожирение. В настоящем исследовании индекс резистентности не удалось рассчитать у 9 больных и 3 членов контрольной группы вследствие затруднения получения четкого допплеровского спектра или даже невозможности лоцирования нормальной печеночной артерии, особенно у здоровых лиц.
Рис. 5.
Нормальная форма волны кровотока с нормальным ИР=0,6.
В настоящей работе не было достоверной корреляции между степенью выраженности цирроза и индексом резистентности печеночной артерии, которая ранее была показана Vassiliades и соавт. (1993). Однако имеется достоверное увеличение индекса резистентности печеночной артерии, если цирроз сопровождается тромбозом воротной вены или обратным кровотоком. В исследовании сопротивления печеночной артерии при циррозе с тромбозом воротной вены и без него Saccrdoti и соавт. показали, что индекс резистентности при циррозе без тромбоза воротной вены составляет 0,71 ± 0,07, тогда как у больных циррозом с тромбозом воротной вены — 0,81 ± 0,06.
Рис. 6.
Ствол чревной артерии и ее Y-образная бифуркация на печеночную и селезеночную артерии.
Представляется, что патофизиологические механизмы увеличения сопротивления печеночной артерии развиваются параллельно с возрастанием портального сопротивления. Печеночная артерия расширяется для компенсации возросшего сопротивления со стороны ее печеночного ложа, что в конечном счете приводит к возрастанию кровотока, тогда как у больных с новообразованиями печени, в частности, метастазами, печеночная артерия расширяется с увеличением кровотока для приспособления к возросшему кровоснабжению, необходимому для низкорезистентного сосудистого ложа новообразований. Эти данные были четко представлены в исследовании Leen и соавт. (1993) при изучении изменений печеночной перфузии у больных с метастазами в печень в сравнении с больными циррозом печени.
Рис. 7.
Изогнутый ствол чревной артерии и изогнутая печеночная артерия.
Диаметр печеночной артерии возрастает параллельно с увеличением средней скорости кровотока в ней, в то время как диаметр воротной вены увеличивается по мере снижения средней скорости кровотока в ней. Таким образом происходит перераспределение печеночной перфузии между печеночной артерией и воротной веной. В 1995 г. Joynt и соавт. опубликовали исследование, которое показало выраженное увеличение индекса резистентности печеночной артерии у здоровых людей после приема пищи, которое не наблюдалось у больных с тяжелыми заболеваниями печени. Это может быть потому, что у больных с циррозом индекс резистентности уже увеличен, однако Joynt и соавт. не выявили изменений диаметра печеночной артерии после приема пищи.
Рис. 8.
Расширенная до 6 мм печеночная артерия с параллельным ходом по отношению к воротной вене. Возросший кровоток через печеночную артерию с наложением спектров максимальной систолической скорости. ИР=0,71.
Следует подчеркнуть, что применение цветового допплеровского и импульсного допплеровского исследования для измерения индекса резистентности печеночной артерии является надежным, относительно простым и чувствительным неинвазивным методом, который повышает возможность диагностики цирроза. Расширенная печеночная артерия может быть исходным ключом к диагностике тромбоза воротной вены или обратного кровотока, когда имеется также существенное увеличение индекса резистентности печеночной артерии. Индекс резистентности выявляет и объясняет перераспределение кровотока между воротной веной и печеночной артерией при циррозе печени.
Литература
- Herlong H, Andrew S. Cirrhosis. In: Pitt. HA, Feirucci J, eds. Hepatobiliary and pancreatic disease. Boston: Little, Brown and Company 1995: 3-30.
- Becker D, GunterE, SeutterF. The hepatic artery resistance index: Distinction of cirrhotic livers from non-cirrhotic livers. Abstract. The American Association for the Study of Liver Diseases. Gastroenterology 1995; 108: 1021-71.
- Ralls PW. Color Doppler sonography of the hepatic artery and portal venous system. A/R1995:155: 517-25.
- Goncalvesova E, Kovac A. Color Doppler sonography in the diagnosis of portal hypertension in patients with liver cirrhosis. Abstract: The 2nd World Congress of International Hepatopancreaticobiliary Association, Bologna, Italy, 1996.
- Cioni G, Tincani E, Cristani A. Does the measurement of portal flow velocity have any value in the identification of patients with cirrhosis at risk of digestive bleeding? Liver 1996; 16: 84-87.
- Piscalgia F, Zironi G, Siringo S. US Doppler investigation of hepatic artery hemodynamics in liver cirrhosis and chronic active hepatitis. Abstract. The 30th Annual Meeting of the European Association for the Study of the Liver, Copenhagen, Denmark, 1995.
- Vassiliades VG, Ostrow TD, Chezmar JL, Hertzler GL, Nelson RC. Hepatic arterial resistive indices: correlation with the severity of cirrhosis. Abdom Imaging 1993; 18: 61-65.
- Saccrdoti D, Merkel C, Bolagluesi M, Amodio P, Augeli P, Gatta A. Hepatic arterial resistance in cirrhosis with and without portal vein thrombosis: Relationships with portal hemodynamics. Gastroenterology 2995:108:1152-1158.
- Bolandi L, Libassi S, Gaiani S, Zironi G, Benzi G, Sauti V, Barbara L. Liver cirrhosis: changes of Doppler Waveform of Hepatic Veins. RAD 1991;178:513-516.
- Leen E, Goldberg [A, Anderson JR, Robertson J, Moule B, Cooke TG, Me Ardle CS. Hepatic perfusion changes in patients with liver metastasis: Comparison with those patients with cirrhosis.Gut 1993;34:554-557.
- Joynt LK, Plott JP, Rubin JM, Ellis JH, Bude RO. Hepatic artery resistance before and after standard meal in subjects with diseased and healthy livers. RAD 1995;196:489-492.
- Pierce MF, Swwell R. Identification of hepatic cirrhosis by duplex Doppler ultrasound value of the hepatic artery resistive index. Australs Radiol 1990;34:331-333.
УЗИ сканер HS50
Доступная эффективность.
Универсальный ультразвуковой сканер, компактный дизайн и инновационные возможности.
Доплер сосудов почки в норме
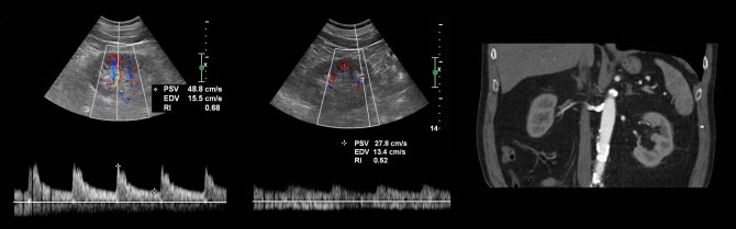
Диаметр почечной артерии у взрослых в норме от 5 до 10 мм. Если диаметр <4,65 мм, вероятно наличие дополнительной почечной артерии. При диаметре главной почечной артерии <4,15 мм, дополнительная почечная артерия имеется почти всегда.
Почечную артерию следует оценивать в семи точках: при выходе из аорты, в проксимальном, среднем и дистальном сегментах, а так же верхушечную, среднюю и нижнюю сегментарные артерии. Оцениваем пиковую систолическую (PSV) и конечно-диастолическую (EDV) скорости кровотока, индекс резистивности (RI), время ускорения (АТ), индекс ускорения (PSV/АТ). Подробнее смотри Доплер сосудов.
Нормальный спектр почечных артерий имеет выраженный систолический пик с антеградным диастолическим потоком на протяжении всего сердечного цикла. У взрослых в норме на главной почечной артерии PSV 100±20 см/сек, EDV — 25-50 см/сек, у детей раннего возраста PSV 40-90 см/сек. В сегментарных артериях PSV падает до 30 см/сек, в междолевых до 25 см/сек, в дуговых до 15 см/сек и междольковых до 10 см/сек. RI в воротах почки <0,8, RI на внутрипочечных артериях 0,34-0,74. У новорожденного RI на внутрипочечных артериях достигает 0,8-0,85, к 1 месяцу опускается до 0,75-0,79, к 1 году до 0,7, у подростков 0,58-0,6. В норме PI 1,2-1,5; S/D 1,8-3.
Рисунок. Нормальный спектр почечных артерий — высокий систолический пик, антеградный диастолический поток, низкое периферическое сопротивление — RI в норме <0,8.

Рисунок. Спектр сосудов почки у новорожденных: почечная артерия — выраженный систолический пик и антеградным диастолический поток (1); высокое сопротивление на внутрипочечных артериях считается нормальным для новорожденных — RI 0,88 (2); почечная вена — поток антеградный с постоянной скоростью на протяжении всего сердечного цикла, минимальные дыхательные колебания (3).

Доплер почечных вен
Левая почечная вена проходит между аортой и верхней брыжеечной артерией. Аортомезентериальный «пинцет» может сдавливать вену, что ведет к венной почечной гипертензии. В положении стоя «пинцет» сжимается, а в положении лежа — раскрывается. При синдроме Щелкунчика затрудняется отток по левой яичковой вене. Это фактор риска развития левостороннего варикоцеле.

Из-за сдавления спектр ЛПВ похож на воротную вену — спектр выше базовой линии, постоянная низкая скорость, контур плавными волнами. Если соотношение диаметра ЛПВ перед и в зоне сужения более 5 или скорость потока менее 10 см/сек выносим заключение о повышении венозного давления в левой почке.
Задача. На УЗИ левая почечная вена расширена (13 мм), участок между аортой и верхней брыжеечной артерией заужен (1 мм). Кровоток в зоне стеноза с высокой скоростью (320 cм/сек), реверс кровотока в проксимальном сегменте. Заключение: Компрессия левой почечной вены аортомезентериальным «пинцетом» (синдром Щелкунчика).

Сдавление почечной вены возможно из-за аномального расположения позади аорты. Соотношение диаметра и скорость потока оценивают по вышеуказанным правилам.
Характер кровотока в правой почечной вене приближается к кавальному. Форма кривой меняется при задержке дыхания может быть более пологой. Скорость кровотока 15-30 см/сек.
Берегите себя, Ваш Диагностер!
Метки: доплер лекции почки УЗИ